뷰노메드 렁퀀트/체스트 엑스레이·· 클라우드 기반으로 어디서든 사용 가능
[테크월드=이건한 기자] 의료AI 전문기업 '뷰노'가 AI 기반 흉부 CT 영상 판독 솔루션과 흉부 엑스레이 판독 솔루션을 무료로 공개한다고 밝혔다. 최근 코로나19가 전 세계로 확산됨에 따라 각국 의료진의 더 나은 진단과 연구를 돕기 위함이다.
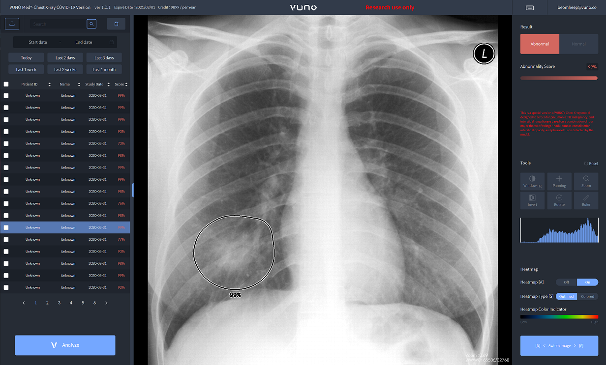
이번에 공개되는 ▲뷰노메드 렁퀀트(VUNO Med-LungQuant) ▲뷰노메드 체스트 엑스레이-코로나19 버전(VUNO Med-Chest X-ray: COVID-19 Version)은 클라우드 기반 웹 서비스다. 전 세계 어디에서나 실시간으로 활용할 수 있다.

이들 솔루션은 코로나19 폐렴과 관련된 병변을 자동으로 탐지하고 병증의 정도를 정량화해 제공함으로써, 의심환자 선별과 확진 환자의 경과 관찰, 향후 연구 등에서 활용될 수 있다. 다만, 아직 국내에서 정식 인허가를 받지 않은 만큼, 주로 연구와 실험에 적용될 것으로 전망된다.
뷰노 정규환 기술총괄 부사장(CTO)은 “뷰노메드 렁퀀트와 뷰노메드 체스트 엑스레이-코로나19 버전은 뷰노가 보유하고 있던 인공지능 제품과 기술을 코로나19 폐렴 진단 보조에 맞게 재설계한 것으로서, 코로나19 확진 환자의 데이터를 기반으로 최적화 및 성능 검증을 진행했다”고 설명했다.
뷰노메드 렁퀀트는 1분 내로 코로나19 소견에 해당하는 병변의 분포와 부피 정보를 제공해 의료진의 신속한 진단을 보조한다. 특히, 코로나19 폐렴 환자의 CT내 주요 소견인 ▲간유리 음영(Ground Glass Opacity, GGO), ▲망상음영(Reticular Opacity), ▲경화(Consolidation)를 탐지할 수 있다.
또 관련 리포트를 사용자 중심 인터페이스로 시각화해 의료진이 환자의 상태와 경과를 보다 간편하게 파악할 수 있도록 했다.

뷰노메드 체스트 엑스레이-코로나19 버전은 수초 만에 흉부 엑스레이 영상을 분석, 코로나19로 인한 폐렴 진단에 도움이 되도록 의심 병변과 비정상 여부 소견을 제공한다. 특히 코로나19 폐렴 진단에 도움을 주는 주요 소견인 ▲경화(Consolidation) ▲간질성음영(Interstitial opacity) ▲흉막삼출(Pleural effusion) ▲결절(Nodule)을 실제 환자 데이터를 기반으로 검출할 수 있다.

현재 뷰노메드 체스트 엑스레이는 강원도 지역 보건소에서 환자들의 영상의학적 폐렴 여부를 신속하게 확인하는 등, 코로나19 선별 과정에서 활용되고 있다. 이와 함께 대구파티마병원에서도 지난 1월 해당 솔루션을 도입한 바 있다.
그래도 삭제하시겠습니까?



