폐암 조기발견 등에 기여할 것으로 기대된다
[테크월드=이건한 기자] 의료 AI 스타트업 뷰노의 CT 영상 기반 폐결절 검출 인공지능 솔루션 '뷰노메드 흉부 CT AI'가 21일 식약처 허가를 획득했다.
뷰노메드 흉부 CT AI는 국내 주요 대형병원 3곳에서 진행된 다기관 임상시험 결과를 바탕으로 허가를 받은 최초의 의료 인공지능 솔루션이다. ▲강북삼성병원 ▲국립암센터 ▲서울아산병원 3곳에서 진행된 허가 임상시험 결과에 따르면, 해당 솔루션은 낮은 위양성율 대비 높은 검출율을 보여 우수한 임상적 유용성을 입증받았다.
폐결절은 폐 내부에 있는 지름 3cm 이하의 둥근 폐음영을 의미하는데, 폐암 초기 단계일 수 있어 조기 발견이 중요하다. 특히 국내에서는 지난해 8월부터 폐암 고위험군을 대상으로 흉부 CT 촬영을 실시하는 국가 폐암검진사업이 시작됐기 때문에 폐기 조기발견율을 개선하는 데에도 도움이 될 것으로 기대된다.

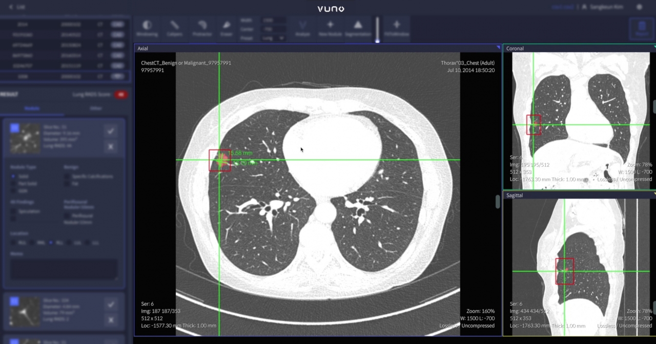
뷰노메드 흉부 CT AI는 환자 흉부 CT 영상을 기반으로 측정이 까다로운 지름, 부피 등 정량적인 폐결절 정보를 1분 내에 제시한다. 판독 과정 중 놓치기 쉬운 결절 검출을 도와, 영상의학과 전문의들의 업무 정확도와 효율성을 동시에 향상할 수 있어 영상의학과 전문의 등이 업무 부담을 줄여줄 것으로도 예상되고 있다.
또한 솔루션이 제공한 1차 정보를 의료진이 확인 후 클릭하면 공식 폐암검진 CT 보고, 자료 체계인 Lung-RADS(Lung CT Screening Reporting and Data System) 기반 분류 정보도 추가 제공한다.
김현준 뷰노 대표는 “뷰노메드 흉부 CT AI는 국내 다양한 임상 환경에서 까다로운 검증 과정을 거쳐 높은 폐결절 검출 성능을 입증한 국내 유일 흉부 CT 인공지능 솔루션”이라며 “국가적으로 폐암검진의 중요성이 높아지는 시점에서, 국내 의료진들에게 유용한 폐결절 진단 보조 도구가 될 것으로 기대한다”고 밝혔다.
한편, 뷰노는 최근 다양한 AI 기반 의료진단 보조도구를 발표하고 실증과 인허가를 통해 의료 AI 분야 강소기업으로 자리매김하고 있다. 얼마 전에는 AI 안저판독 솔루션인 '뷰노메드 펀더스 AI'도 식약처 3등급 인허가를 획득한 바 있다.
그래도 삭제하시겠습니까?



