[테크월드뉴스=조명의 기자] 웨이센이 식품의약안전처로부터 내시경영상 분석 AI 소프트웨어 ‘WAYMED endo’의 의료기기 2등급 인증을 획득했다고 밝혔다.

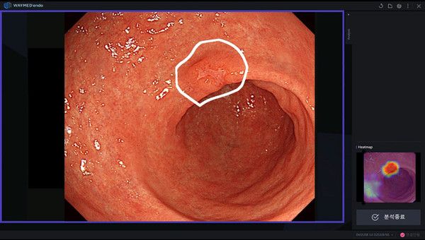
WAYMED endo(WAYMED endo ST, WAYMED endo CL)는 인공지능 기술을 활용해 위·대장내시경 검사와 동시에 실시간으로 내시경 영상을 분석해 이상부위를 표시하는 의료영상분석 소프트웨어다. 기존 보유하고 있는 소화기 내시경 장비와 연동해 사용하는 AI 의료영상 분석 소프트웨어로, 내시경 검사 시 인공지능이 실시간으로 내시경 영상을 분석해 이상부위(융기 또는 함몰패턴)을 감지하고 영역을 표시해준다.
현재까지 내시경영상을 분석하는 소프트웨어는 PACS에 저장된 정지 이미지에 대해 이상 부위를 감지하는 형태의 제품만 나온 상황이다. 하지만 WAYMED endo는 이상 부위에 대해 실시간으로 정확하고 빠른 감지 성능을 보유하고 있어 내시경실에서 의료진의 빠른 판단을 도와주고 내시경 업무를 통해 축적되는 의료진의 피로도를 낮출 수 있어 연말 내시경 검사가 몰리는 병원·검진센터에서 적극 활용할 수 있다. 또한 의료진의 내시경검사 miss rate를 낮추고 내시경 검사 시간을 단축하는데 도움을 줄 수 있다.
WAYMED endo는 인공지능 전문기업 웨이센과 강남세브란스병원 소화기내과 김지현 교수연구팀과 공동연구를 통해 개발한 제품이다. 각 분야 전문가가 모여 의료환경에 필요한 기술을 개발했으며, 의료현장에 적극 활용될 수 있도록 기술적 검증을 거쳐 제품이 완성됐다.
웨이센 김경남 대표는 “WAYMED endo는 인공지능 기술을 활용해 정지된 이미지 뿐 아니라 실시간 동영상을 함께 학습한 해 우수한 성능을 보유하고 있으며 이 부분이 가장 큰 강점으로 생각되는 제품이다. 이번에 획득한 첫 인허가를 시작으로 국내 내시경 시장에 새로운 의료 혁신을 일으켜보고자 한다”며 포부를 밝혔다.
한편, WAYMED endo 인허가 획득을 시작으로 본격적인 병원·검진센터 타깃으로 사업화를 시작할 계획이다. 오는 3월 코엑스에서 열리는 국제의료기기전시 ‘KIMES 2022’를 통해 첫 선보일 예정이다.
그래도 삭제하시겠습니까?



